Skip to main content
Case #18

PRO Plan Required

Unlock this case with a PRO membership

Demographics: 58 years old, Male
Indication: Left-sided weakness

Case #18

Findings

CT

MRI

  • Multifocal areas of parenchymal restricted diffusion involving the bilateral cerebral and cerebellar hemispheres
  • The largest lesion is located in the anterior right basal ganglia/anterior limb of the right internal capsule, which measures 3 x 2.5 x 2.3 cm, demonstrates peripheral enhancement which is incomplete along its ependymal margin, and demonstrates central restricted diffusion
  • Linear enhancement extends along the superior margin of the right lateral ventricle
  • Many of these lesions demonstrate peripheral susceptibility artifact
  • Surrounding vasogenic edema, particularly involving the right basal ganglia and right frontal subcortical lesions
  • No substantial midline shift or evidence of herniation or hydrocephalus

Annotated Images & Illustrations

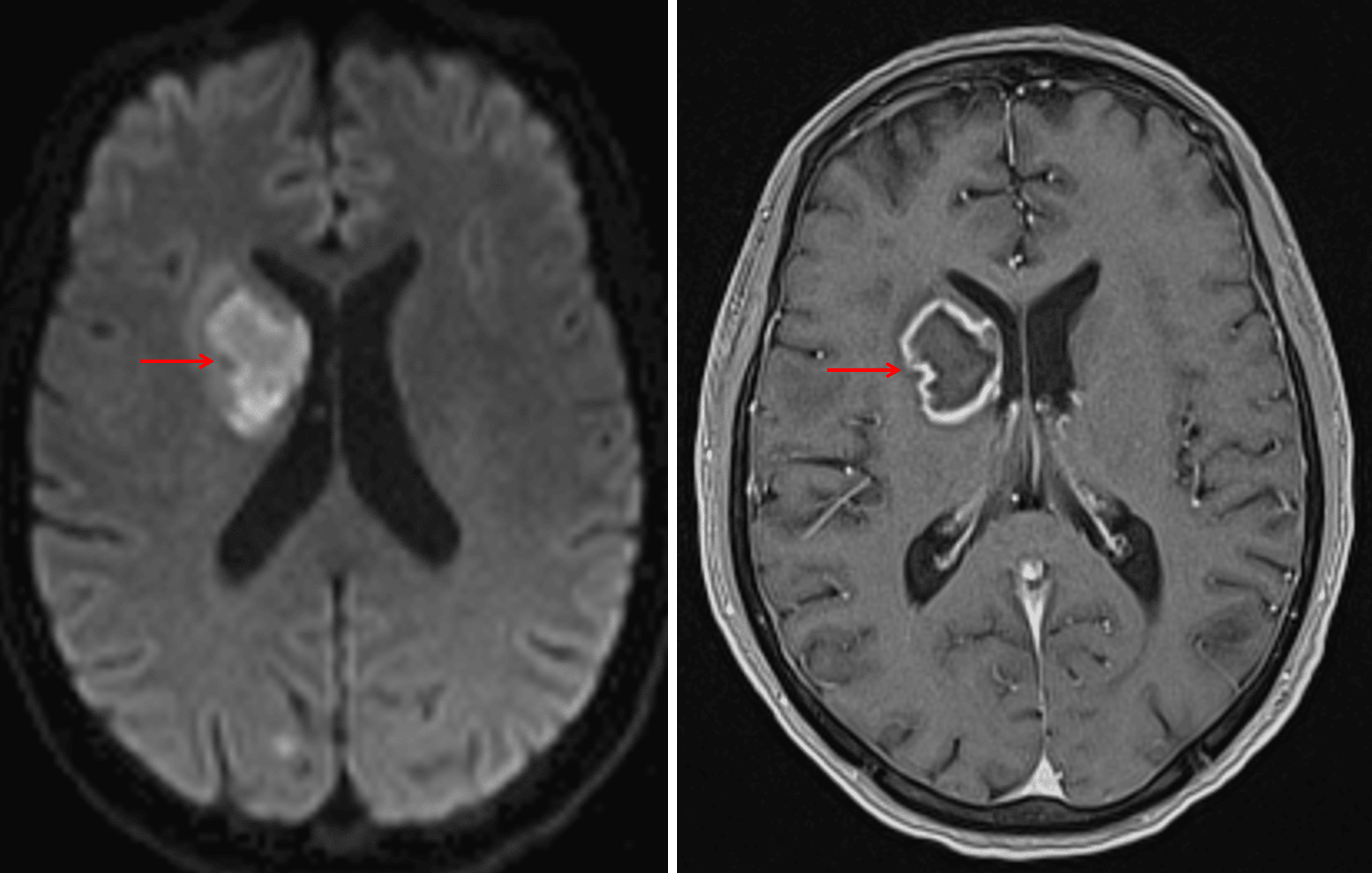
Peripherally-enhancing lesion with central restricted diffusion in the right basal ganglia and internal capsule (red arrows), highly concerning for a pyogenic abscess. Close proximity to the ventricular margin increases the risk for ventriculitis.

Peripherally-enhancing lesion with central restricted diffusion in the right basal ganglia and internal capsule (red arrows), highly concerning for a pyogenic abscess. Close proximity to the ventricular margin increases the risk for ventriculitis.

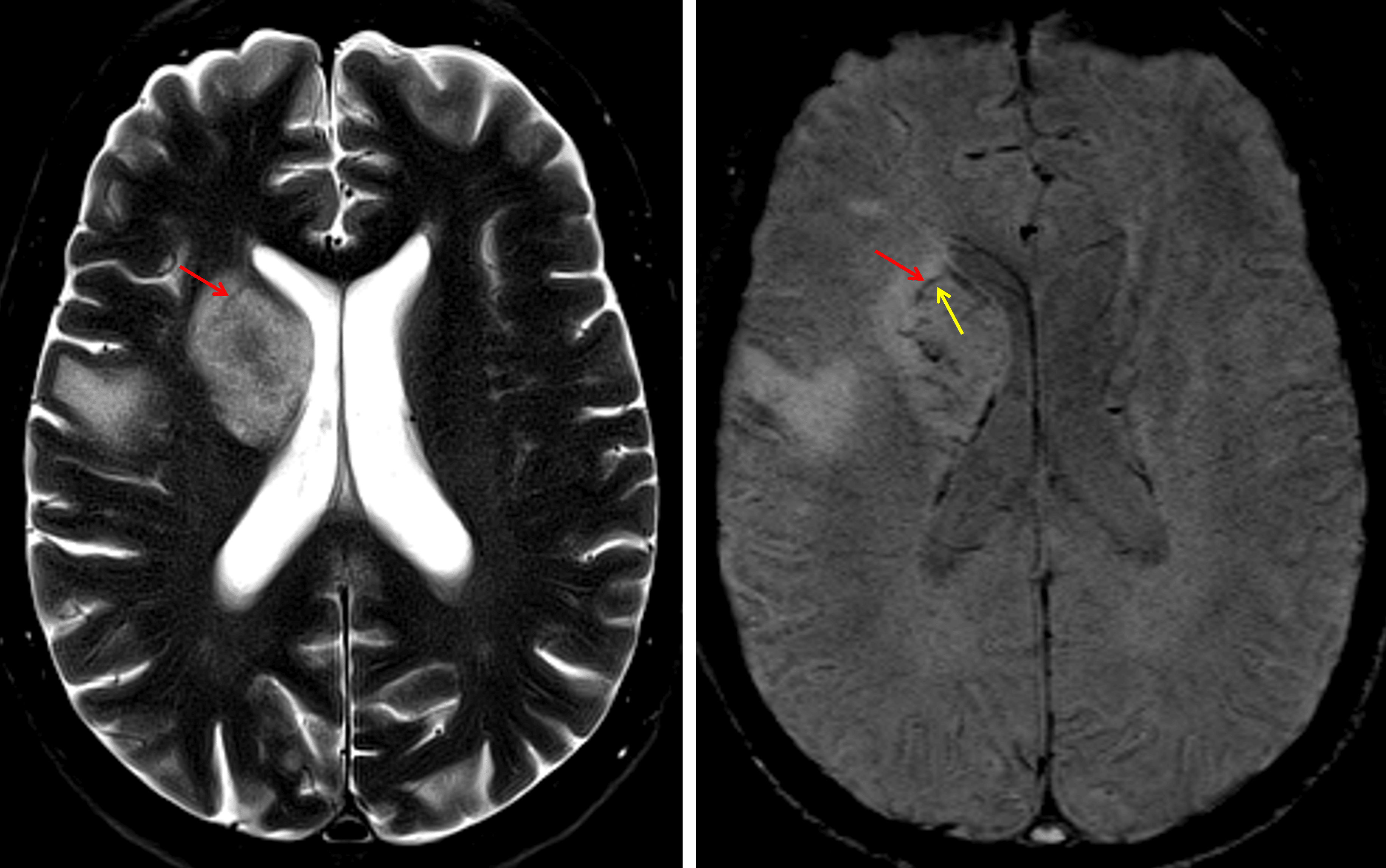
Although this case is not the best example of an abscess rim, there is a thin T2 and SWI hypointense rim (red arrows) with a thin internal SWI hyperintense ring (yellow arrow).

Although this case is not the best example of an abscess rim, there is a thin T2 and SWI hypointense rim (red arrows) with a thin internal SWI hyperintense ring (yellow arrow).

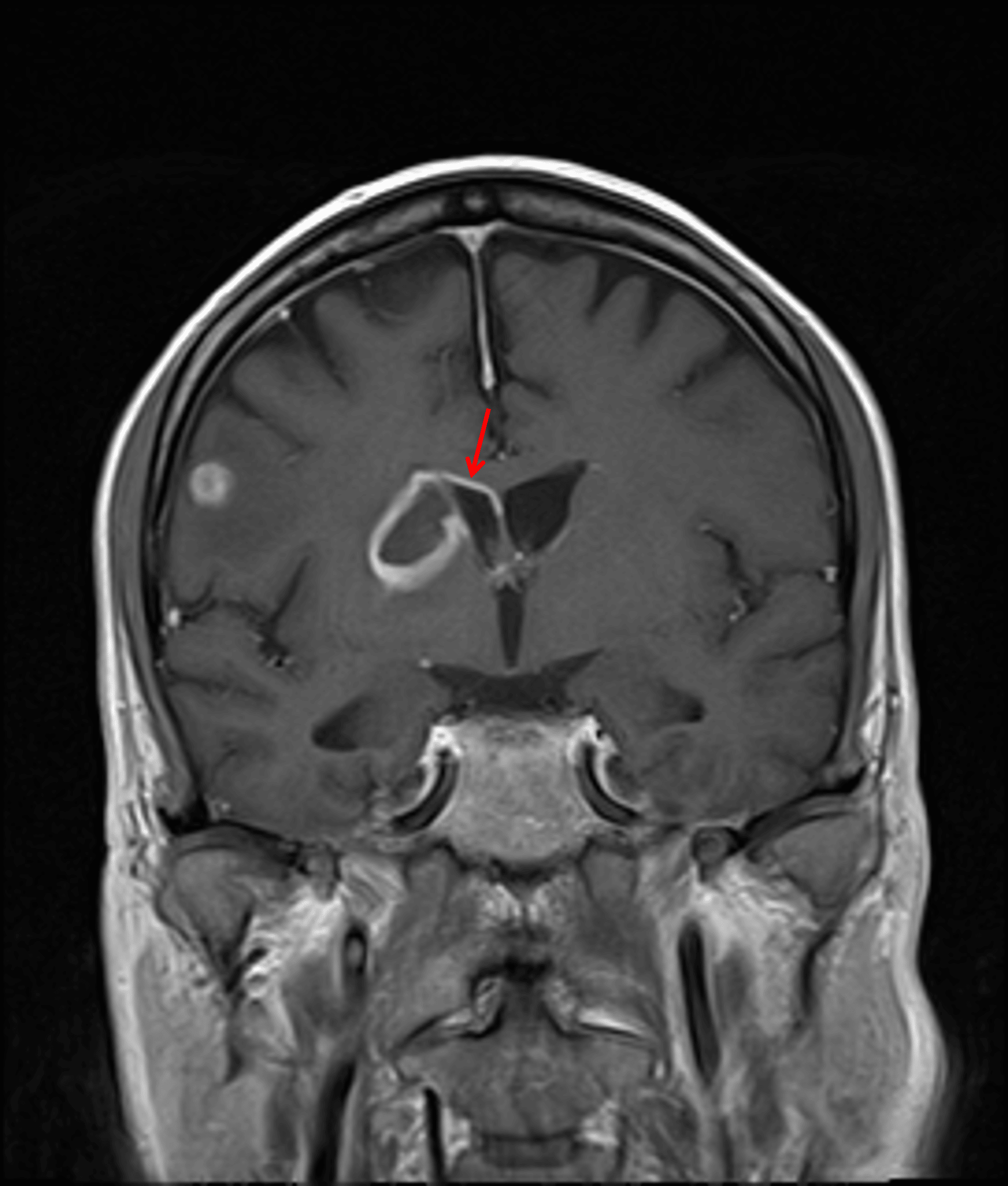
Enhancement extending along the superior margin of the right lateral ventricle (red arrow), which raises concern for developing ventriculitis.

Enhancement extending along the superior margin of the right lateral ventricle (red arrow), which raises concern for developing ventriculitis.

Diagnosis

Septic emboli with pyogenic brain abscesses

Key Imaging Features

Become a PRO member to unlock the key imaging features

Differential Diagnosis

Become a PRO member to unlock the differential diagnosis

Discussion

PRO Plan Required

Unlock the discussion with a PRO membership

View Plans

Pearls

Become a PRO member to unlock the pearls

Site Feedback

Your feedback helps us improve CaseStacks. Please share your thoughts, suggestions, or report any issues you've encountered.

/5
Thank you for your feedback! We appreciate your input.