Skip to main content
Case #36

PRO Plan Required

Unlock this case with a PRO membership

Demographics: 11 years old, Male
Indication: Diabetes insipidus

Case #36

Findings

  • Thickening of the pituitary stalk with corresponding diffuse enhancement
  • Absent posterior pituitary bright spot on pre-contrast T1-weighted imaging
  • Confluent T2/FLAIR signal hyperintensity in the bilateral cerebral periventricular white matter with white matter volume loss and thinning of the corpus callosum (patient had a known history of periventricular leukomalacia)
  • Few scattered foci of susceptibility artifact in the left greater than right parietal lobes

Annotated Images & Illustrations

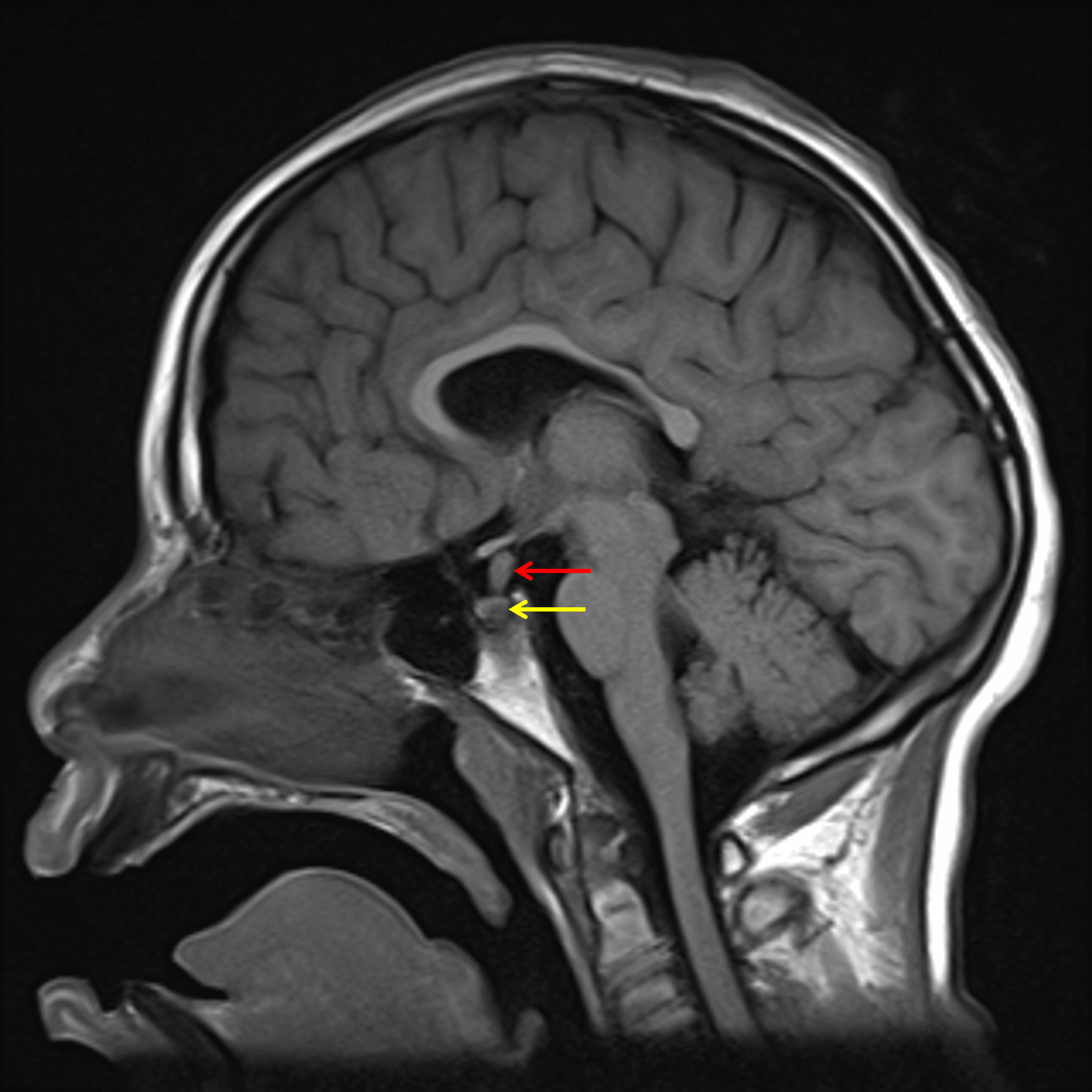
Thickening of the pituitary stalk (red arrow) with absent posterior pituitary T1 bright spot (yellow arrow).

Thickening of the pituitary stalk (red arrow) with absent posterior pituitary T1 bright spot (yellow arrow).

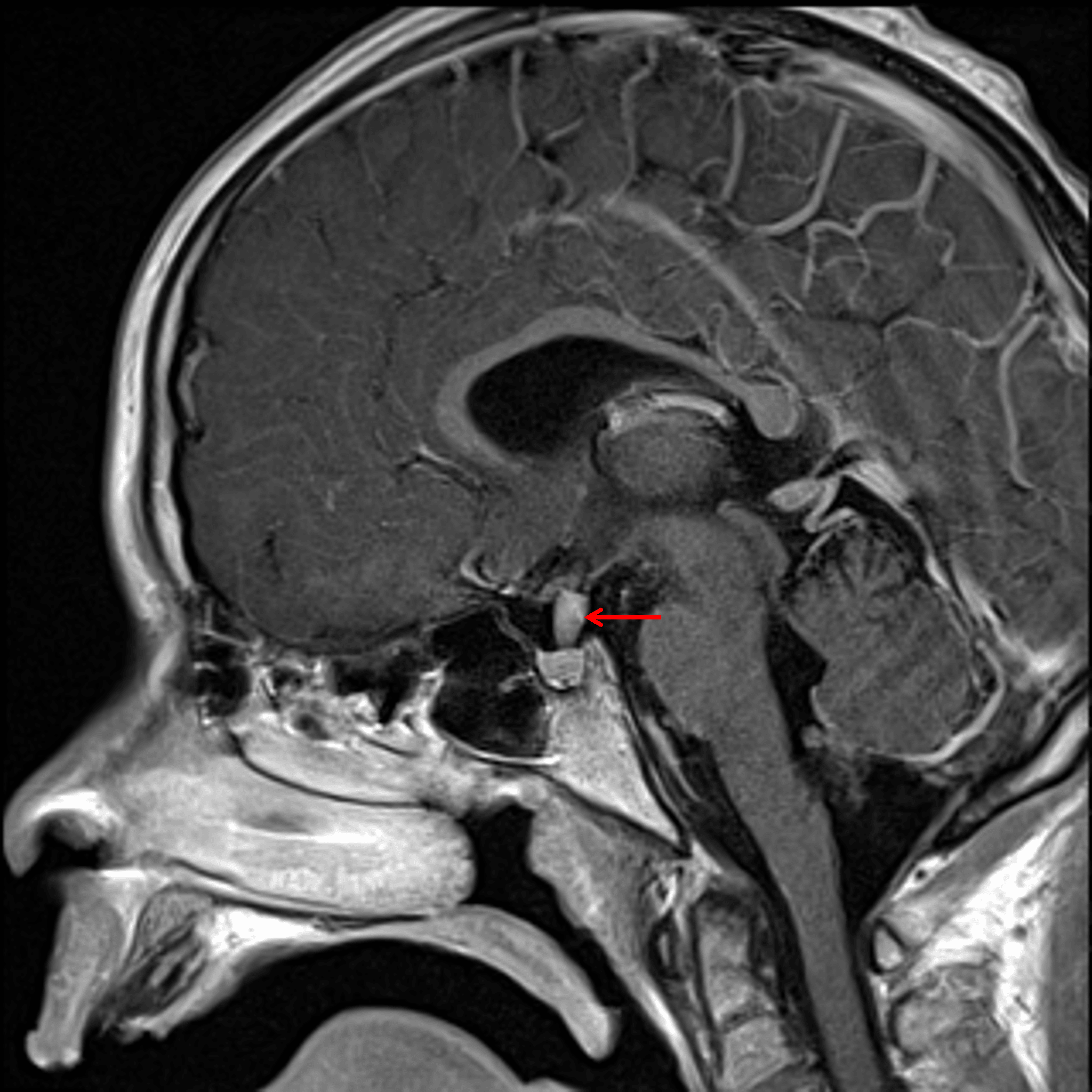
Diffuse enhancement of the pituitary stalk lesion (red arrow).

Diffuse enhancement of the pituitary stalk lesion (red arrow).

Diagnosis

Langerhans cell histiocytosis (LCH)

Key Imaging Features

Become a PRO member to unlock the key imaging features

Differential Diagnosis

Become a PRO member to unlock the differential diagnosis

Discussion

PRO Plan Required

Unlock the discussion with a PRO membership

View Plans

Pearls

Become a PRO member to unlock the pearls

Site Feedback

Your feedback helps us improve CaseStacks. Please share your thoughts, suggestions, or report any issues you've encountered.

/5
Thank you for your feedback! We appreciate your input.