Skip to main content
Case #10

PRO Plan Required

Unlock this case with a PRO membership

Demographics: 4 years old, Male
Indication: Somnolence

Case #10

Findings

CT

  • Hyperattenuating posterior fossa mass centered in the fourth ventricle
  • Obstructive hydrocephalus with marked enlargement of the lateral and third ventricles and periventricular edema
  • Generalized sulcal and cisternal effacement

MRI

  • Large, heterogeneously enhancing mass arising at the floor of the fourth ventricle and extending through the right greater than left foramina of Luschka and foramen of Magendie into the prepontine and premedullary cisterns and upper cervical spinal canal
  • Extensive corresponding mass effect on the cerebellum, pons, medulla, and upper cervical spinal cord
  • T2 signal intensity is similar to that of gray matter
  • No corresponding restricted diffusion
  • A few foci of internal susceptibility artifact likely represent calcification in correlation with the CT
  • Encasement of the basilar and intradural vertebral arteries

Annotated Images & Illustrations

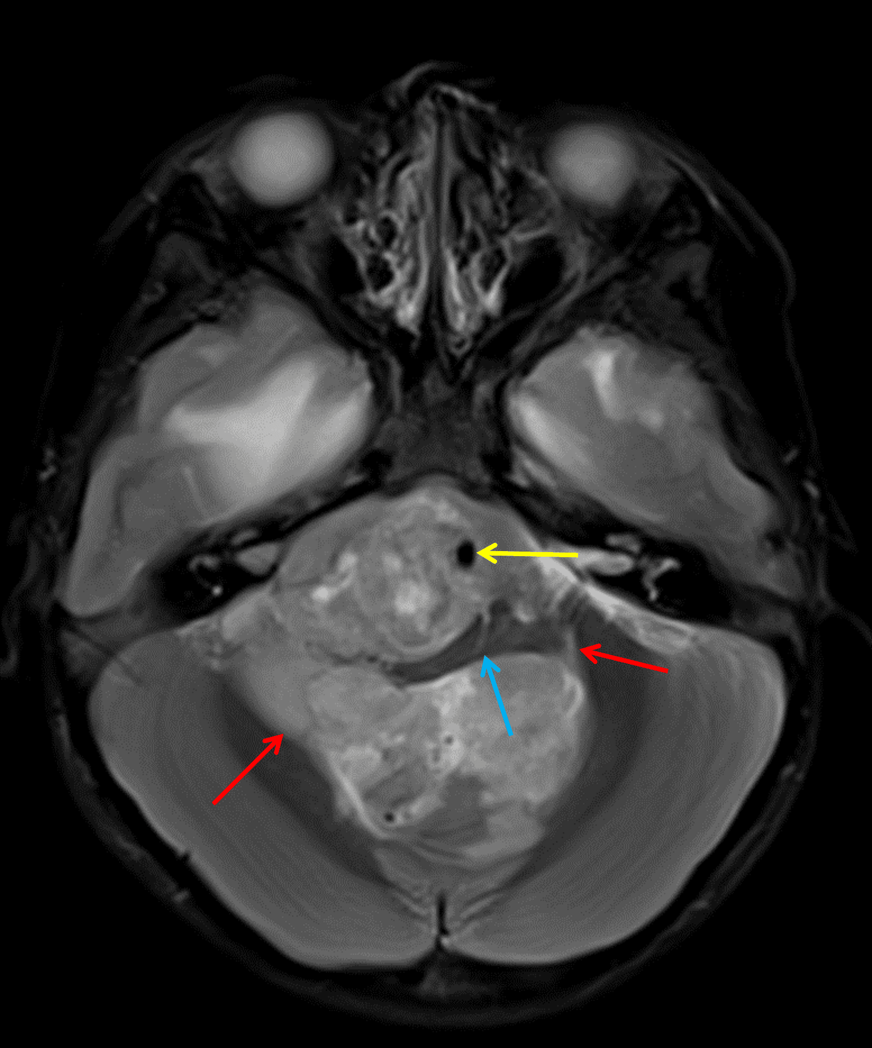
Posterior fossa ependymoma extending through the foramina of Luschka (red arrows), encasing the basilar artery (yellow arrow), and severely deforming the medulla (blue arrow).

Posterior fossa ependymoma extending through the foramina of Luschka (red arrows), encasing the basilar artery (yellow arrow), and severely deforming the medulla (blue arrow).

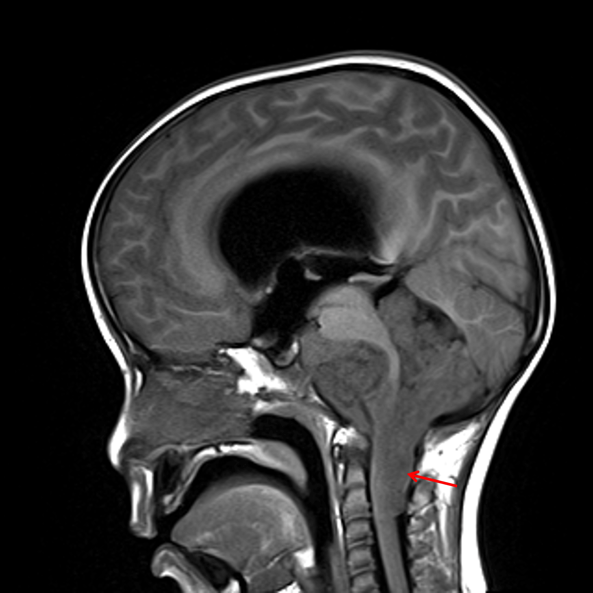
Sagittal T1 precontrast image shows the tumor encasing multiple posterior fossa structures and extending inferiorly within the dorsal aspect of the upper cervical spinal canal (red arrow).

Sagittal T1 precontrast image shows the tumor encasing multiple posterior fossa structures and extending inferiorly within the dorsal aspect of the upper cervical spinal canal (red arrow).

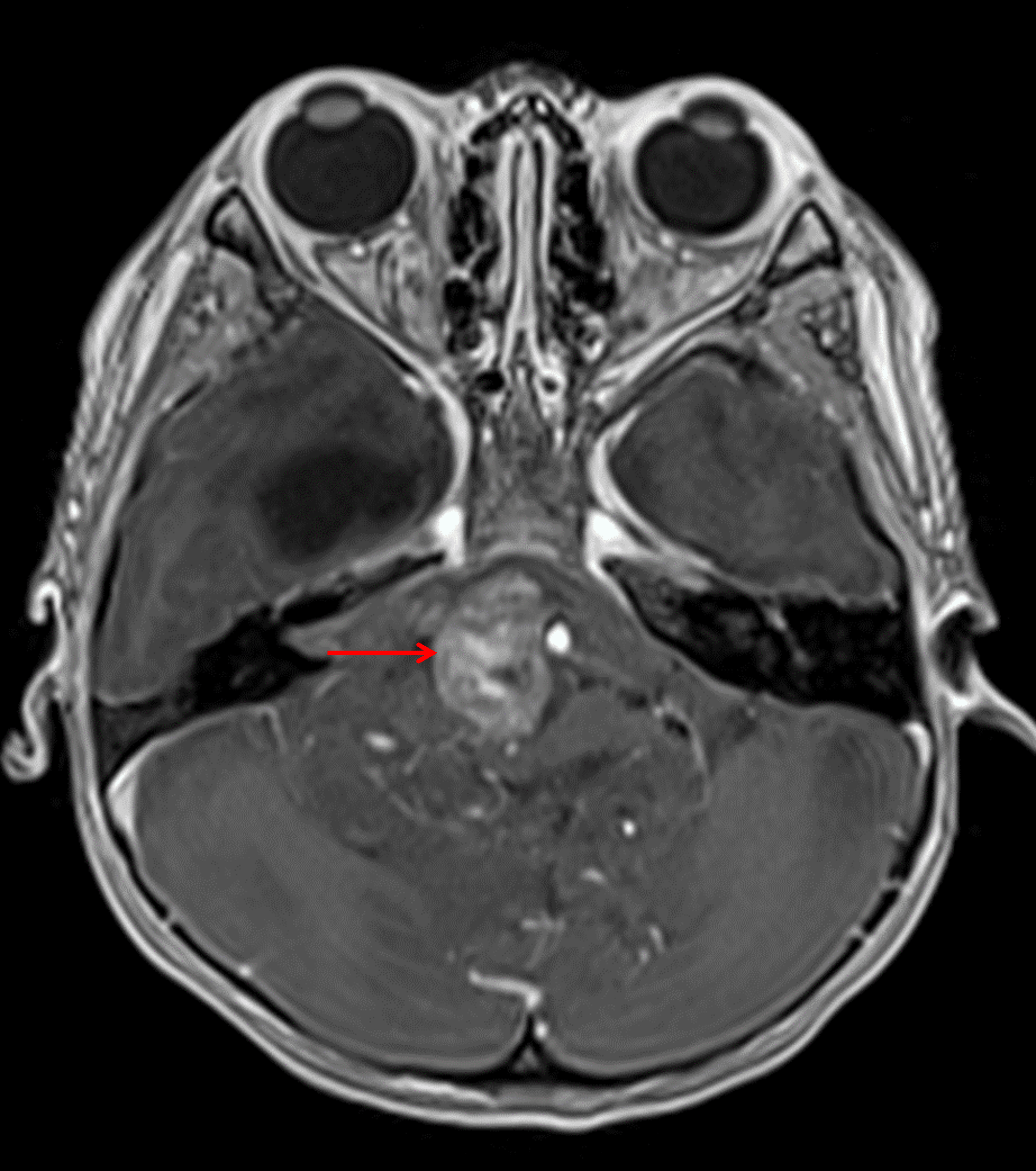
Heterogeneous areas of internal enhancement, including in the prepontine tumor component (red arrow).

Heterogeneous areas of internal enhancement, including in the prepontine tumor component (red arrow).

Diagnosis

Ependymoma

Key Imaging Features

Become a PRO member to unlock the key imaging features

Differential Diagnosis

Become a PRO member to unlock the differential diagnosis

Discussion

PRO Plan Required

Unlock the discussion with a PRO membership

View Plans

Pearls

Become a PRO member to unlock the pearls

Site Feedback

Your feedback helps us improve CaseStacks. Please share your thoughts, suggestions, or report any issues you've encountered.

/5
Thank you for your feedback! We appreciate your input.