Skip to main content
Case #2
1/240
Demographics: 79 years old, Female
Indication: Trauma

Case #2

Findings

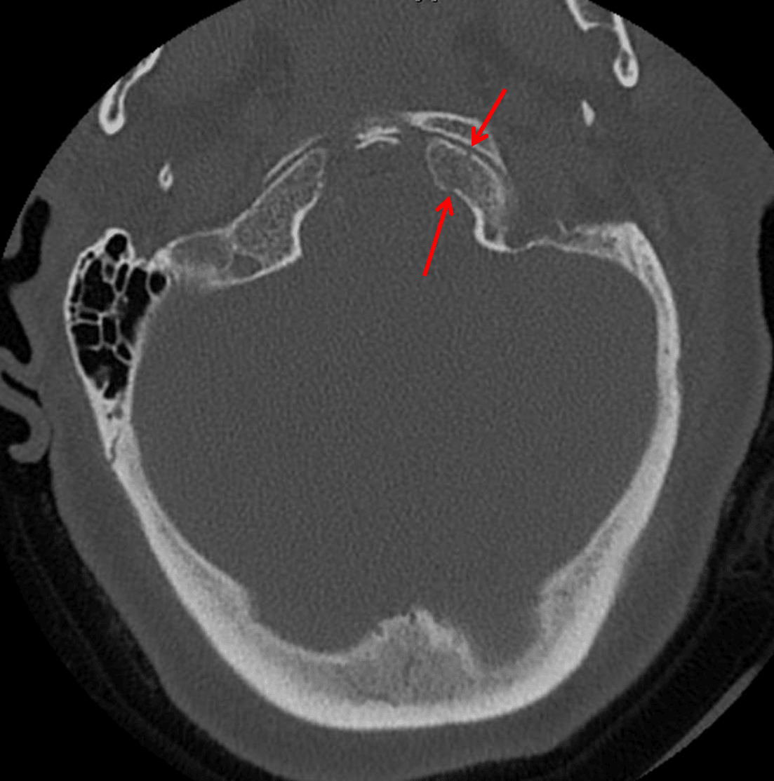
  • Nondisplaced left occipital condyle fracture
  • Endotracheal tube cuff inflated above the level of the vocal cords
  • Multilevel degenerative changes, most pronounced at C5-C6 and C6-C7

Diagnosis

Occipital condyle fracture

Sample Report

Acute nondisplaced left occipital condyle fracture. No traumatic malalignment.

Multilevel cervical spondylosis, most pronounced at C5-C6 and C6-C7.

Endotracheal tube cuff is inflated above the level of the vocal cords. Recommend advancement.

Discussion

  • Occipital condyle fractures are often missed, in part because they are often nondisplaced or minimally displaced. Make sure to look closely at the condyles on all three planes (you can do this at the same time you check alignment at the craniocervical junction)
  • Remember that the alar ligaments attach to the occipital condyle. Displaced avulsion fractures are considered unstable injuries concerning for underlying ligament injury, and while you do not need to know the surgical classification schemes, make sure to mention whether or not these fractures are displaced

Annotated Images & Illustrations

Red arrows: nondisplaced left occipital condyle fracture.

Red arrows: nondisplaced left occipital condyle fracture.

Coronal view of the major ligaments at the craniocervical junction.

Coronal view of the major ligaments at the craniocervical junction.

Occipital condyle fractures.

Occipital condyle fractures.

Related Video

Video thumbnail

Cervical Spine Trauma

YouTube

Site Feedback

Your feedback helps us improve CaseStacks. Please share your thoughts, suggestions, or report any issues you've encountered.

/5
Thank you for your feedback! We appreciate your input.