Skip to main content
Case #3
Demographics: 22 years old, Male
Indication: Motorcycle crash

Case #3

Findings

Diagnosis

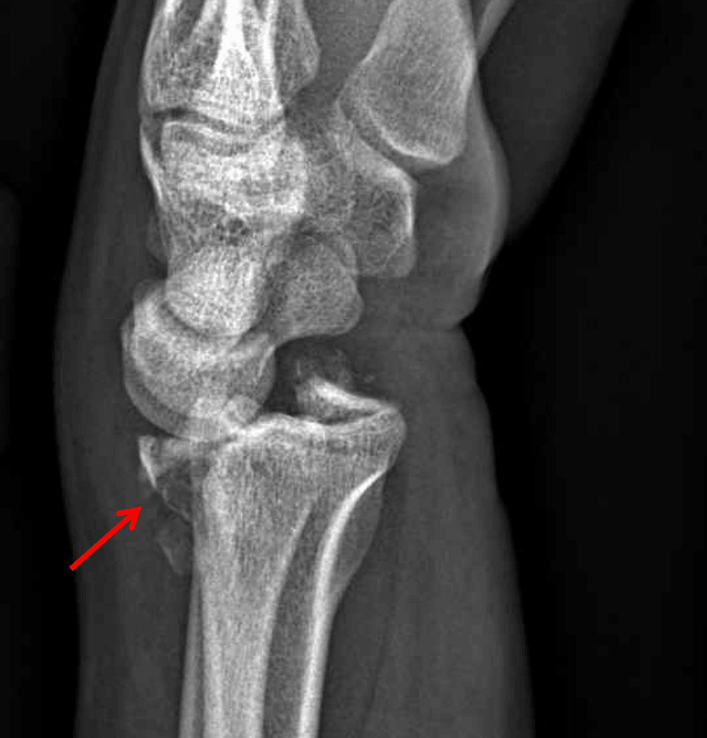
Barton fracture (Frykman IV)

Sample Report

Acute comminuted distal radial fracture with extension into the radiocarpal joint and dorsal dislocation of the proximal carpal row remaining associated with a dominant dorsal fracture fragment.

Numerous tiny fracture fragments project in the radiocarpal joint space.

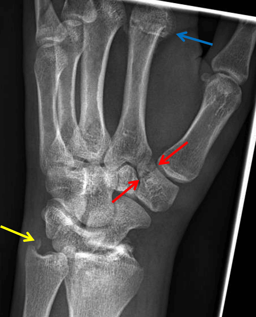
Acute mildly displaced ulnar styloid fracture.

Acute nondisplaced fracture along the ulnar aspect of the trapezium.

Acute mildly impacted second metacarpal neck fracture.

Soft tissue swelling about the wrist.

Discussion

  • Distal radial fractures can often be referred to as one of the following 3 eponyms:
    • Colles fracture - a transverse fracture with dorsal tilt of the distal radial articular surface. May have associated impaction and/or intraarticular extension
      • Some reserve this term only for fractures that do not have intraarticular extension
    • Smith fracture - a transverse fracture with **volar **tilt of the distal radial articular surface. May have associated impaction and/or intraarticular extension
    • Barton fracture - an obliquely-oriented intraarticular distal radial fracture that may result in an articular surface step-off
      • Technically a Barton fracture involves the dorsal articular surface. If the fracture involves the volar surface, it is referred to as a reverse Barton fracture
  • A commonly used classification system for distal radial fractures is the Frykman classification, which is based of the appearance of fractures on AP radiographs alone:
    • Type I: extraarticular transverse metaphyseal fracture
    • Type II: type I with an ulnar styloid fracture
    • Type III: distal radial fracture extending into the radiocarpal joint
    • Type IV: type III with an ulnar styloid fracture
    • Type V: transverse fracture involving the distal radioulnar joint, but not the radiocarpal joint
    • Type VI: type V with an ulnar styloid fracture
    • Type VII: comminuted fracture involving both the distal radioulnar and radiocarpal joints
    • Type VIII: type VII with an ulnar styloid fracture
  • Make sure to also look for ulnar positive variance when you see an impacted radial fracture, as this can lead to long-term morbidity

Annotated Images & Illustrations

Barton fracture with dorsal displacement (red arrow).

Barton fracture with dorsal displacement (red arrow).

Red arrows: nondisplaced fracture of the trapezium. Yellow arrow: ulnar styloid fracture. Blue arrow: impacted second metacarpal neck fracture.

Red arrows: nondisplaced fracture of the trapezium. Yellow arrow: ulnar styloid fracture. Blue arrow: impacted second metacarpal neck fracture.

Types of distal radial fractures.

Types of distal radial fractures.

Site Feedback

Your feedback helps us improve CaseStacks. Please share your thoughts, suggestions, or report any issues you've encountered.

/5
Thank you for your feedback! We appreciate your input.