Skip to main content
Case #1
1/189
Demographics: 37 years old, Female
Indication: Right lower quadrant pain

Case #1

Findings

Lower chest

  • Mild dependent atelectasis

Abdomen/Pelvis

  • Dilated retrocecal appendix measuring up to 19 mm in diameter with diffuse wall thickening and multiple appendicoliths measuring up to 12 mm in the base
  • No areas of mural hypoenhancement or discontinuity
  • Periappendiceal fat stranding without fluid collection or free air
  • Several enlarged ileocolic lymph nodes, likely reactive
  • IUD in the uterine fundus

MSK

  • No acute findings

Diagnosis

Acute appendicitis

Sample Report

Acute suppurative appendicitis. No perforation or abscess.

Discussion

  • Acute appendicitis is a common cause for right lower quadrant pain and the diagnosis of exclusion in most patients presenting with this complaint
  • Like the gallbladder, the appendix is a blind ending structure that becomes inflamed when something lodges in its neck preventing outflow
  • The appendix is considered dilated if it measures greater than 6 mm in diameter, but the upper limit of normal is actually near 10 mm in adults, so if you see gas throughout an appendix that measures more than 6 mm, it is likely normal
  • When describing acute appendicitis, make sure to comment on:
    • Location - this may change surgical approach, particularly if the appendix is retrocecal
    • Presence of appendicoliths - surgeons will try to make sure these are removed and accounted for
    • Wall integrity - look for areas of wall nonenhancement or discontinuity to raise concern for necrotic changes
    • Periappendiceal collections - look for abscesses and free air (remember that with perforated appendicitis, there will usually only be a trace amount of pneumoperitoneum)

Stages of Acute Appendicitis

Stage Patient Symptoms CT Findings
Early/Focal Visceral pain, often localizes near umbilicus Mural thickening and hyperenhancement (may be focal - always look at the appendiceal tip), +/- mild dilation, minimal if any surrounding inflammation
Suppurative Pain localizes to right lower quadrant Mural thickening and hyperenhancement, usually diffuse. Obvious surrounding inflammation
Gangrenous Right lower quadrant pain Areas of mural hypoenhancement
Perforated Right lower quadrant pain may initially improve, but patient develops peritonitis Areas of mural discontinuity, periappendiceal fluid/abscesses, free air

Annotated Images & Illustrations

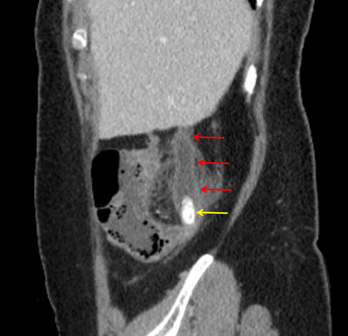
Acute appendicitis: dilated appendix with wall thickening and hyperenhancement (red arrows) and appendicoliths in the base of the appendix (yellow arrow).

Acute appendicitis: dilated appendix with wall thickening and hyperenhancement (red arrows) and appendicoliths in the base of the appendix (yellow arrow).

Site Feedback

Your feedback helps us improve CaseStacks. Please share your thoughts, suggestions, or report any issues you've encountered.

/5
Thank you for your feedback! We appreciate your input.