Skip to main content
Case #55

PRO Plan Required

Unlock this case with a PRO membership

Demographics: 42 years old, Male
Indication: Followup, prior left frontal tumor resection

Case #55

Findings

  • Extensive plaque-like dural thickening and enhancement with multiple intermixed discrete dural-based masses
  • Enhancing lesions in the bilateral internal auditory canals, larger on the right
  • Amorphous enhancing lesion along the posterior intraorbital left optic nerve near the orbital apex
  • Enhancing soft tissue in the left Meckel's cave extending into the left foramen ovale
  • Partially imaged enhancing lesions involving the upper cervical spinal cord
  • Prior high left frontoparietal craniotomy with subjacent encephalomalacia in the posterior aspect of the left superior frontal gyrus
  • Additional small area of encephalomalacia in the posterior left frontal periventricular white matter with central susceptibility artifact
  • The cerebellar tonsils extend up to 8 mm inferior to the foramen magnum with associated mild crowding of the cervicomedullary junction
  • Empty, expanded appearance of the sella
  • Asymmetric atrophy of the right muscles of mastication

Annotated Images & Illustrations

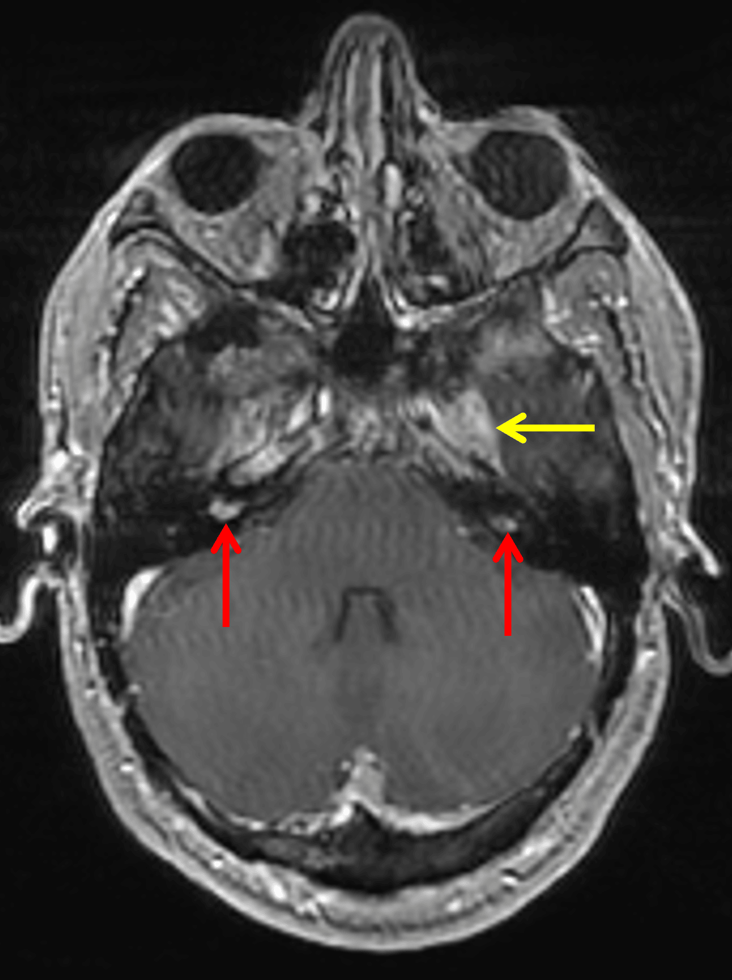
Bilateral vestibular schwannomas (red arrows). Enhancement in the left Meckel's cave extending into the foramen ovale (yellow arrow), also likely a schwannoma.

Bilateral vestibular schwannomas (red arrows). Enhancement in the left Meckel's cave extending into the foramen ovale (yellow arrow), also likely a schwannoma.

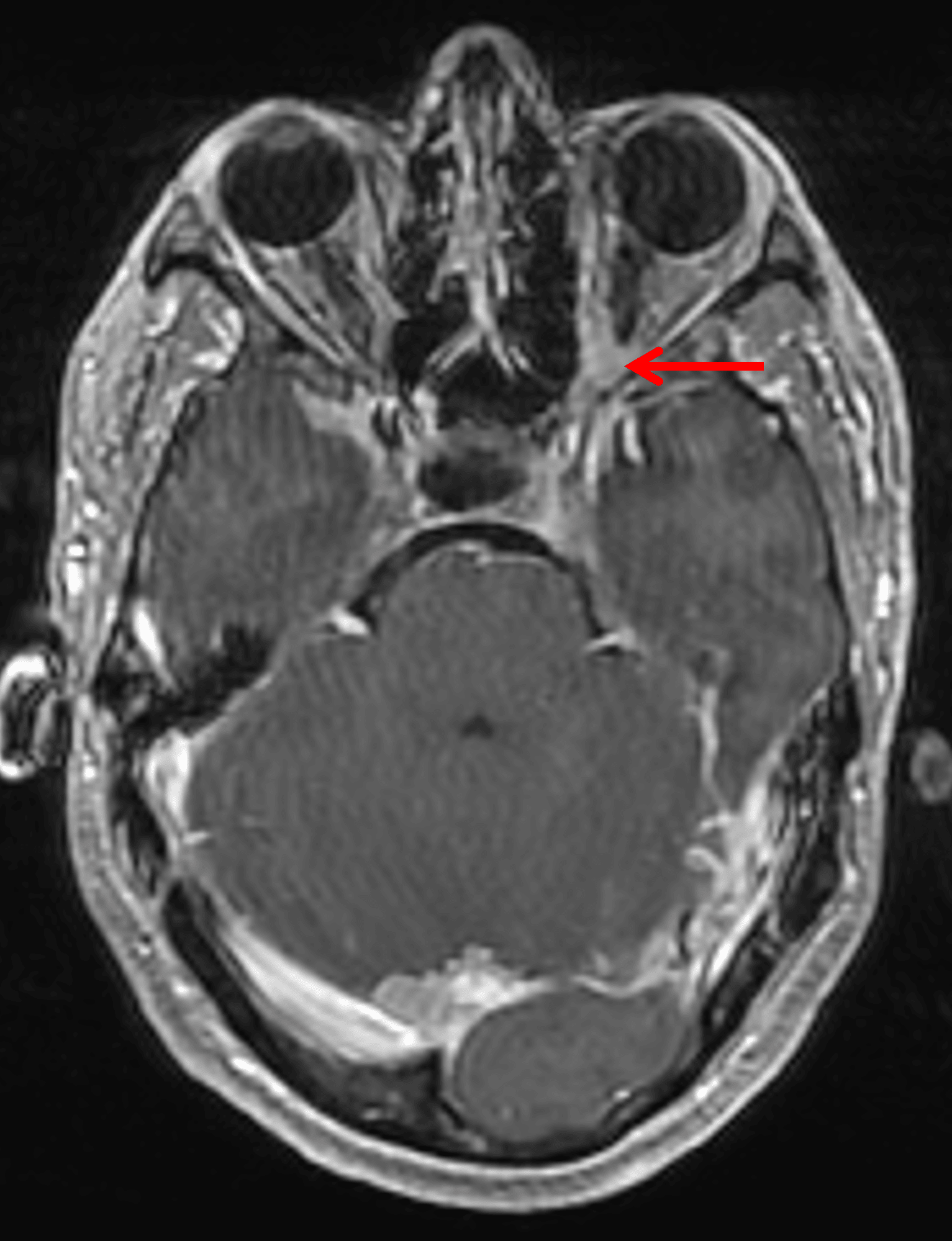
Enhancement in the left orbital apex along the optic nerve (red arrow), likely representing an optic nerve sheath meningioma.

Enhancement in the left orbital apex along the optic nerve (red arrow), likely representing an optic nerve sheath meningioma.

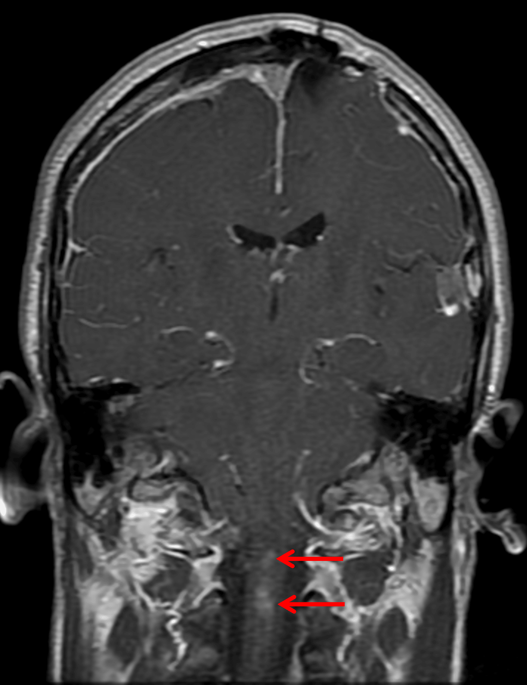
Enhancing intramedullary lesions in the upper cervical spinal cord (red arrows), likely representing ependymomas.

Enhancing intramedullary lesions in the upper cervical spinal cord (red arrows), likely representing ependymomas.

Diagnosis

Meningiomatosis, schwannomas, and ependymomas in neurofibromatosis type 2

Key Imaging Features

Become a PRO member to unlock the key imaging features

Differential Diagnosis

Become a PRO member to unlock the differential diagnosis

Discussion

PRO Plan Required

Unlock the discussion with a PRO membership

View Plans

Pearls

Become a PRO member to unlock the pearls

Site Feedback

Your feedback helps us improve CaseStacks. Please share your thoughts, suggestions, or report any issues you've encountered.

/5
Thank you for your feedback! We appreciate your input.