Findings
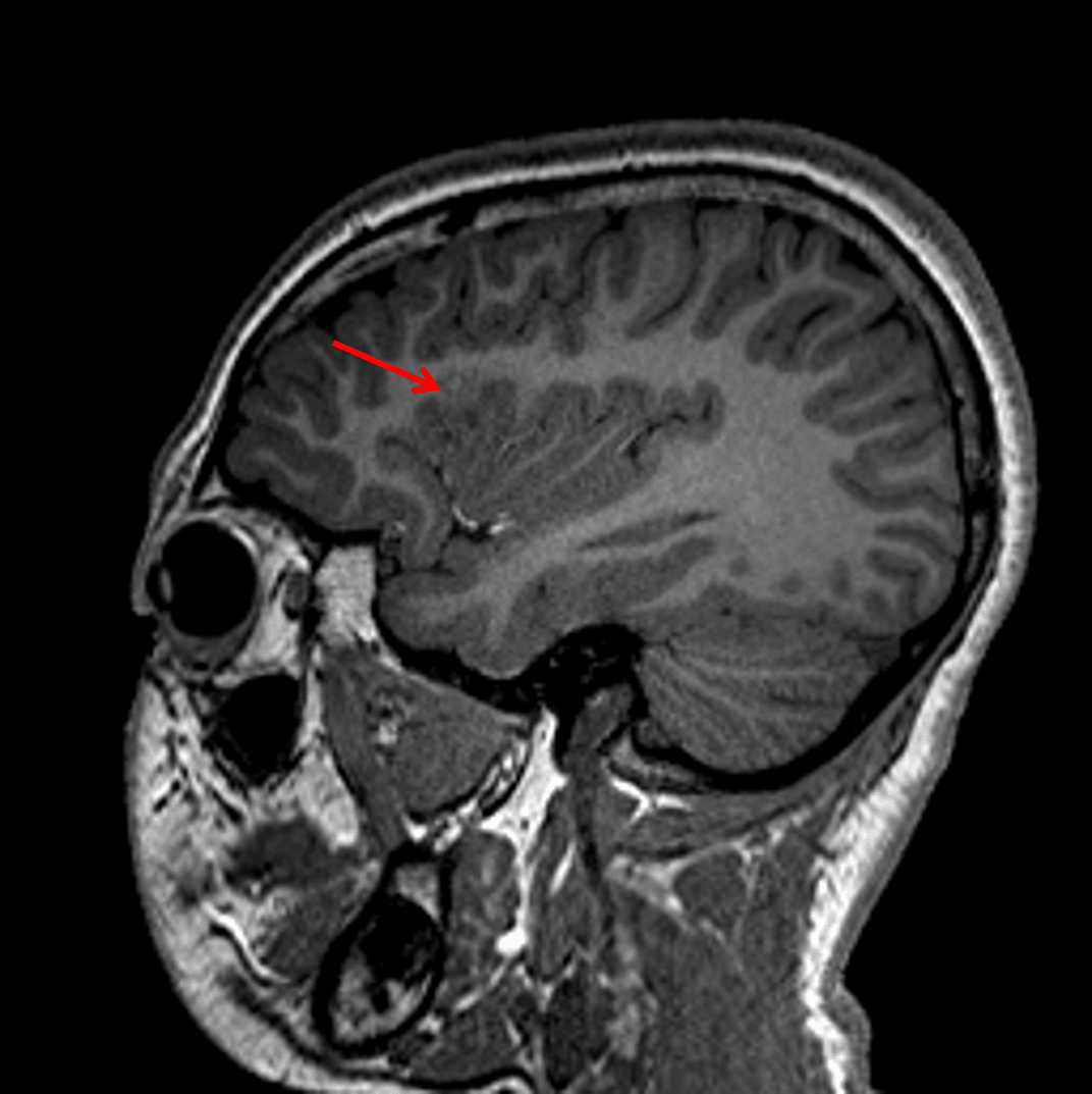
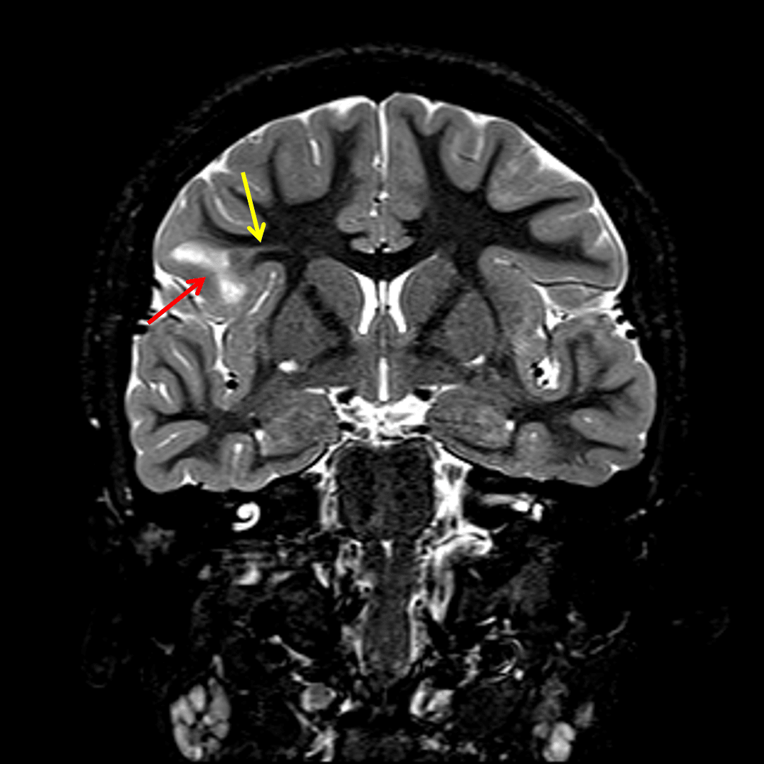
- Area of nonmasslike T2/FLAIR signal hyperintensity involving the cortex and juxtacortical white matter of the right inferior frontal gyrus and more subtle T2/FLAIR hyperintense signal radiating deep toward the ventricular margin
- Associated blurring of the gray-white interface
- No corresponding enhancement or restricted diffusion
Annotated Images & Illustrations
Abnormal cortical and juxtacortical T2 signal hyperintensity involving the right inferior frontal gyrus (red arrow) with an adjacent transmantle sign (yellow arrow).
Associated blurring of the gray-white interface on T1 (red arrow).
Diagnosis
Focal cortical dysplasia (FCD)
Differential Diagnosis
Become a PRO member to unlock the differential diagnosis
Pearls
Become a PRO member to unlock the pearls