Findings
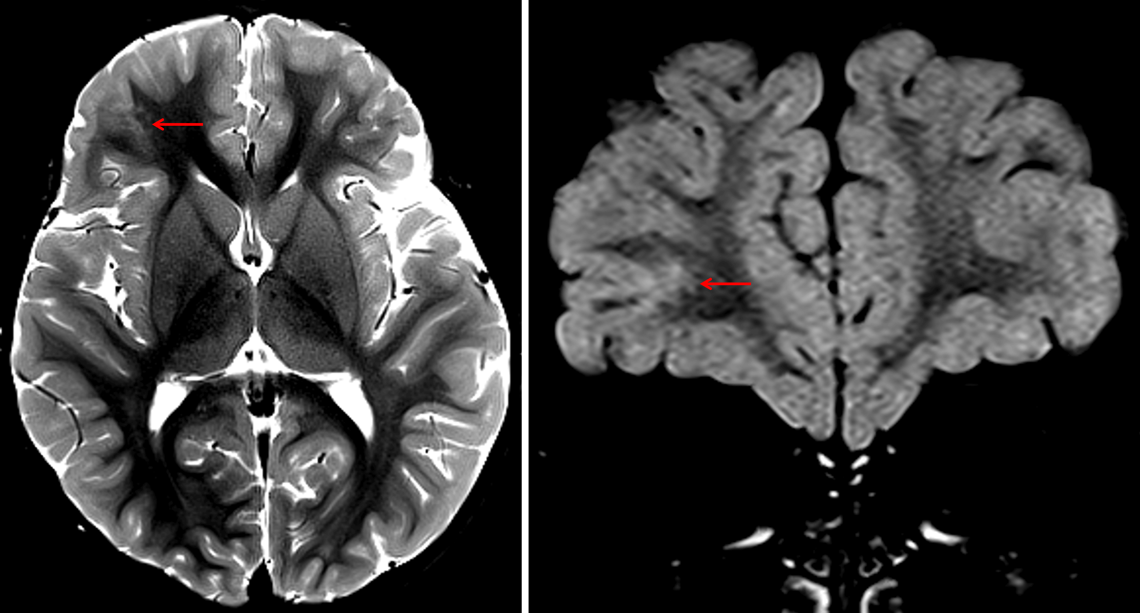
- T2/FLAIR hyperintense lesion in the juxtacortical white matter of the inferior right frontal lobe with likely adjacent cortical involvement
- The lesion has a somewhat multinodular appearance
- No corresponding enhancement, restricted diffusion, susceptibility artifact, or mass effect
Annotated Images & Illustrations
Nonexpansile T2/FLAIR hyperintense lesion involving the juxtacortical white matter and cortex of the inferior right frontal lobe with a projection of signal hyperintensity extending into the deep white matter (red arrows).
Diagnosis
Focal cortical dysplasia VS multinodular and vacuolating neuronal tumor (MVNT)
Differential Diagnosis
Become a PRO member to unlock the differential diagnosis
Pearls
Become a PRO member to unlock the pearls
References