Skip to main content
Case #38

PRO Plan Required

Unlock this case with a PRO membership

Demographics: 18 years old, Female
Indication: Ventriculomegaly

Case #38

Findings

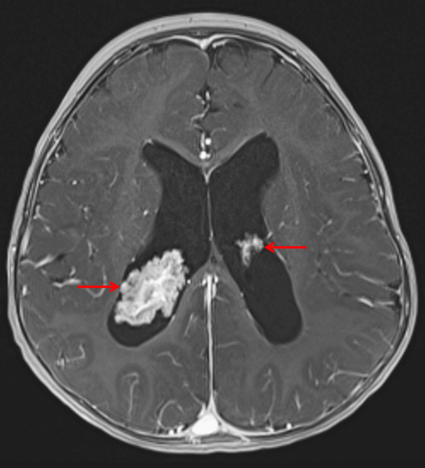
  • Frondlike avidly enhancing lesions in the bilateral lateral ventricles associated with the choroid plexus
  • The right lateral ventricular lesion is larger and measures 3.2 x 2 x 3.5 cm
  • These lesions are isointense on T1 and T2 and do not demonstrate corresponding susceptibility artifact or restricted diffusion
  • Generalized enlargement of the lateral and third ventricles, and to a lesser extent of the fourth ventricle, suggestive of communicating hydrocephalus

Annotated Images & Illustrations

Enlargement of the right greater than left choroid plexus in the lateral ventricles (red arrows).

Enlargement of the right greater than left choroid plexus in the lateral ventricles (red arrows).

Diagnosis

Choroid villous hyperplasia vs choroid plexus papillomas

Key Imaging Features

Become a PRO member to unlock the key imaging features

Differential Diagnosis

Become a PRO member to unlock the differential diagnosis

Discussion

PRO Plan Required

Unlock the discussion with a PRO membership

View Plans

Pearls

Become a PRO member to unlock the pearls

Site Feedback

Your feedback helps us improve CaseStacks. Please share your thoughts, suggestions, or report any issues you've encountered.

/5
Thank you for your feedback! We appreciate your input.