Skip to main content
Case #34

PRO Plan Required

Unlock this case with a PRO membership

Demographics: 19 years old, Male
Indication: Seizure

Case #34

Findings

CT

  • Hypoattenuating mass in the medial right temporal lobe, which bulges inferiorly through the tentorial notch
  • No corresponding calcification

MRI

  • Lobular T1 hypointense, T2 hyperintense mass centered in the medial right temporal lobe (with involvement of the hippocampus and parahippocampal gyrus) measuring 4.5 x 4.3 x 3 cm
  • The mass bulges inferiorly through the tentorial notch and contacts the superior margin of the cerebellum
  • Incomplete internal signal suppression on FLAIR
  • No corresponding restricted diffusion or enhancement
  • No surrounding parenchymal edema
  • Associated local mass effect without evidence for hydrocephalus
  • 1.4 cm pineal cyst

Annotated Images & Illustrations

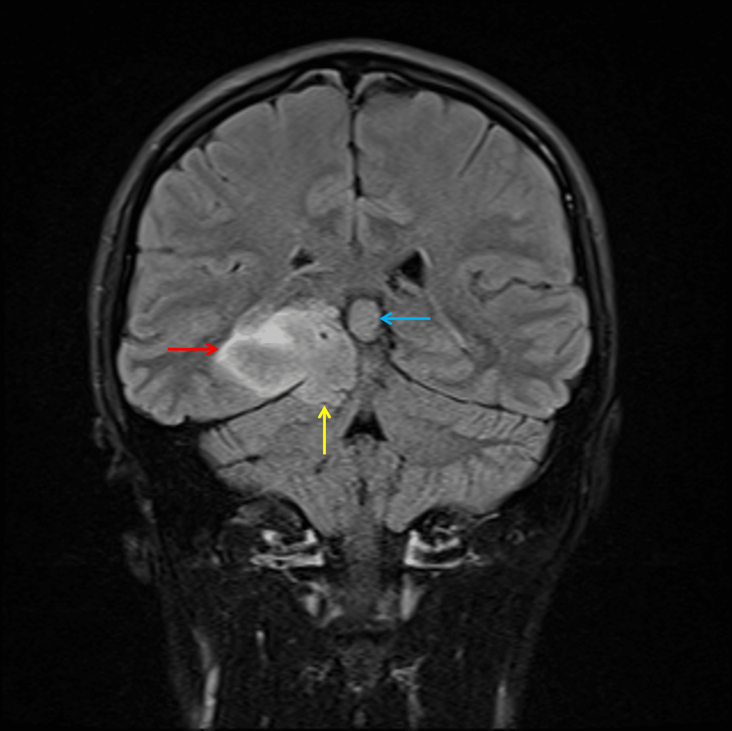
Solid mass in the medial right temporal lobe (red arrow), which bulges inferiorly through the tentorial notch (yellow arrow). Note that there is partial internal signal suppression on FLAIR compared to T2. Incidental pineal cyst (blue arrow).

Solid mass in the medial right temporal lobe (red arrow), which bulges inferiorly through the tentorial notch (yellow arrow). Note that there is partial internal signal suppression on FLAIR compared to T2. Incidental pineal cyst (blue arrow).

Diagnosis

IDH-mutant astrocytoma

Differential Diagnosis

Become a PRO member to unlock the differential diagnosis

Pearls

Become a PRO member to unlock the pearls

Site Feedback

Your feedback helps us improve CaseStacks. Please share your thoughts, suggestions, or report any issues you've encountered.

/5
Thank you for your feedback! We appreciate your input.