Skip to main content
Case #32

PRO Plan Required

Unlock this case with a PRO membership

Demographics: 57 years old, Male
Indication: Gait ataxia

Case #32

Findings

  • Patchy and confluent areas of T2/FLAIR signal hyperintensity in the bilateral cerebral white matter, advanced for patient age
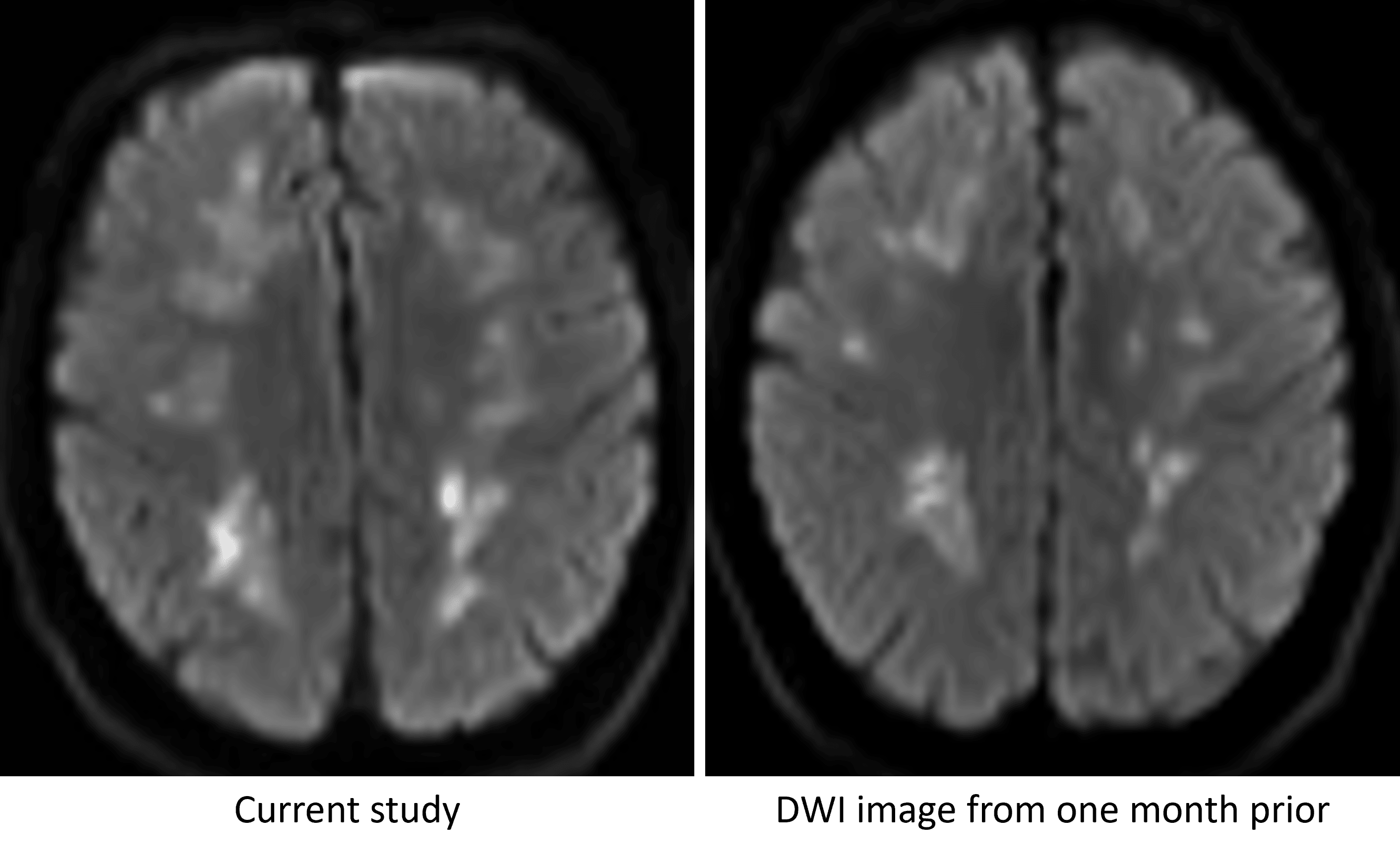
  • Corresponding patchy restricted diffusion
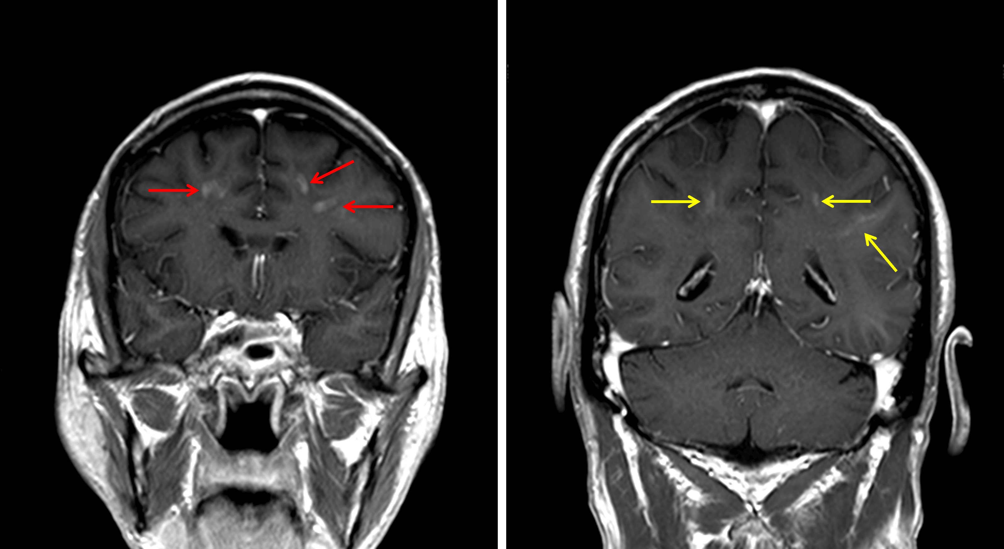
  • Corresponding faint linear and nodular areas of enhancement in the bilateral frontal white matter and to a lesser extent in the bilateral parietal white matter
  • Intermixed foci of susceptibility artifact
  • No substantial intracranial mass effect or evidence of hydrocephalus

Annotated Images & Illustrations

Persistence of restricted diffusion in the cerebral white matter over a one month interval, which is not typical for ischemic infarcts resulting from a single event.

Persistence of restricted diffusion in the cerebral white matter over a one month interval, which is not typical for ischemic infarcts resulting from a single event.

Corresponding areas of enhancement in the frontal lobes (red arrows) and to a lesser extent in the parietal lobes (yellow arrows).

Corresponding areas of enhancement in the frontal lobes (red arrows) and to a lesser extent in the parietal lobes (yellow arrows).

Diagnosis

Intravascular lymphoma

Differential Diagnosis

Become a PRO member to unlock the differential diagnosis

Pearls

Become a PRO member to unlock the pearls

Site Feedback

Your feedback helps us improve CaseStacks. Please share your thoughts, suggestions, or report any issues you've encountered.

/5
Thank you for your feedback! We appreciate your input.