Skip to main content
Case #24

PRO Plan Required

Unlock this case with a PRO membership

Demographics: 34 years old, Female
Indication: Headache, history of HIV/AIDS

Case #24

Findings

CT

  • Vasogenic edema in the right parieto-occipital white matter with minimal corresponding mass effect

MRI

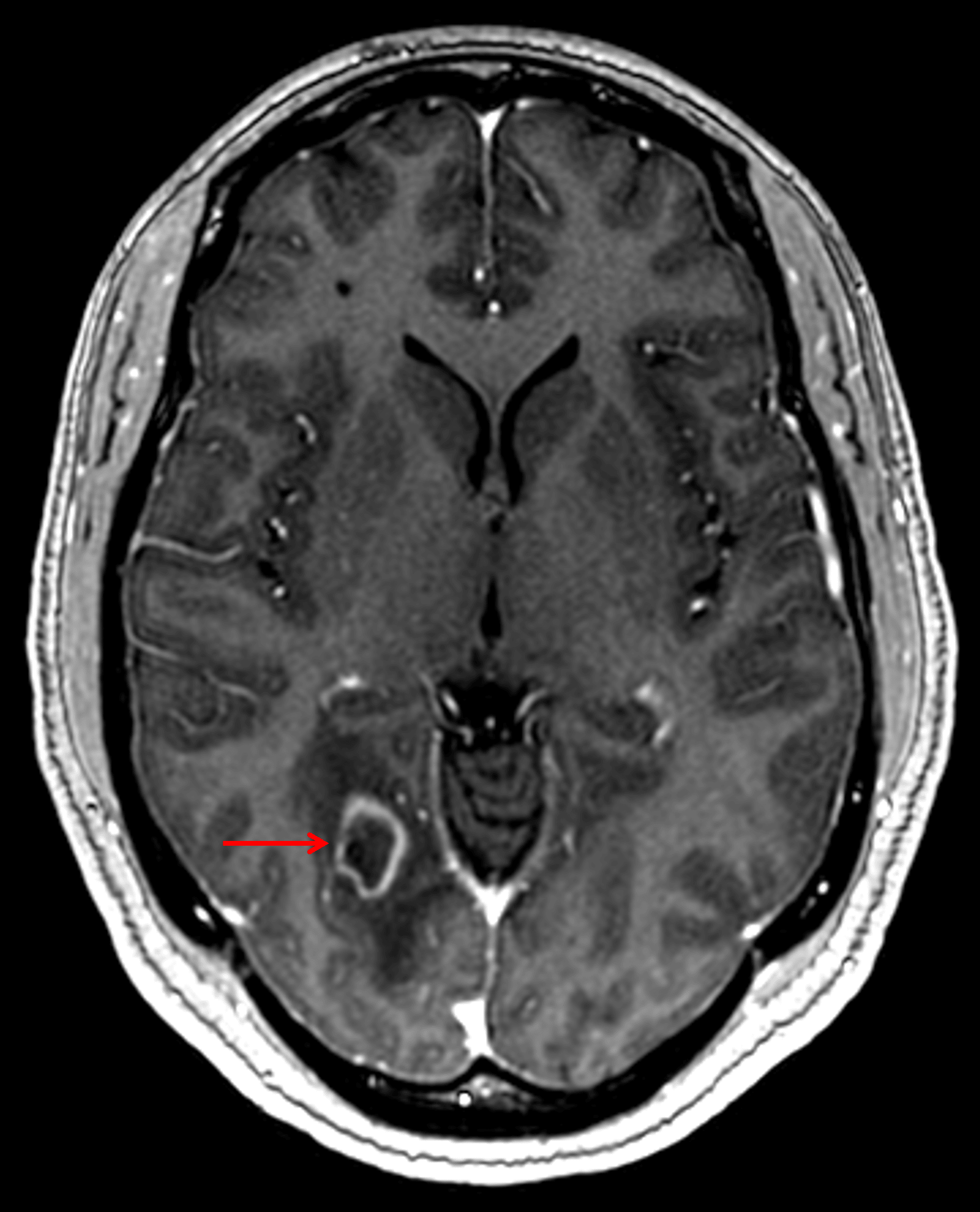
  • Peripherally-enhancing lesion in the right occipital lobe measuring 1.7 x 1.3 x 1 cm with surrounding vasogenic edema and minimal local mass effect
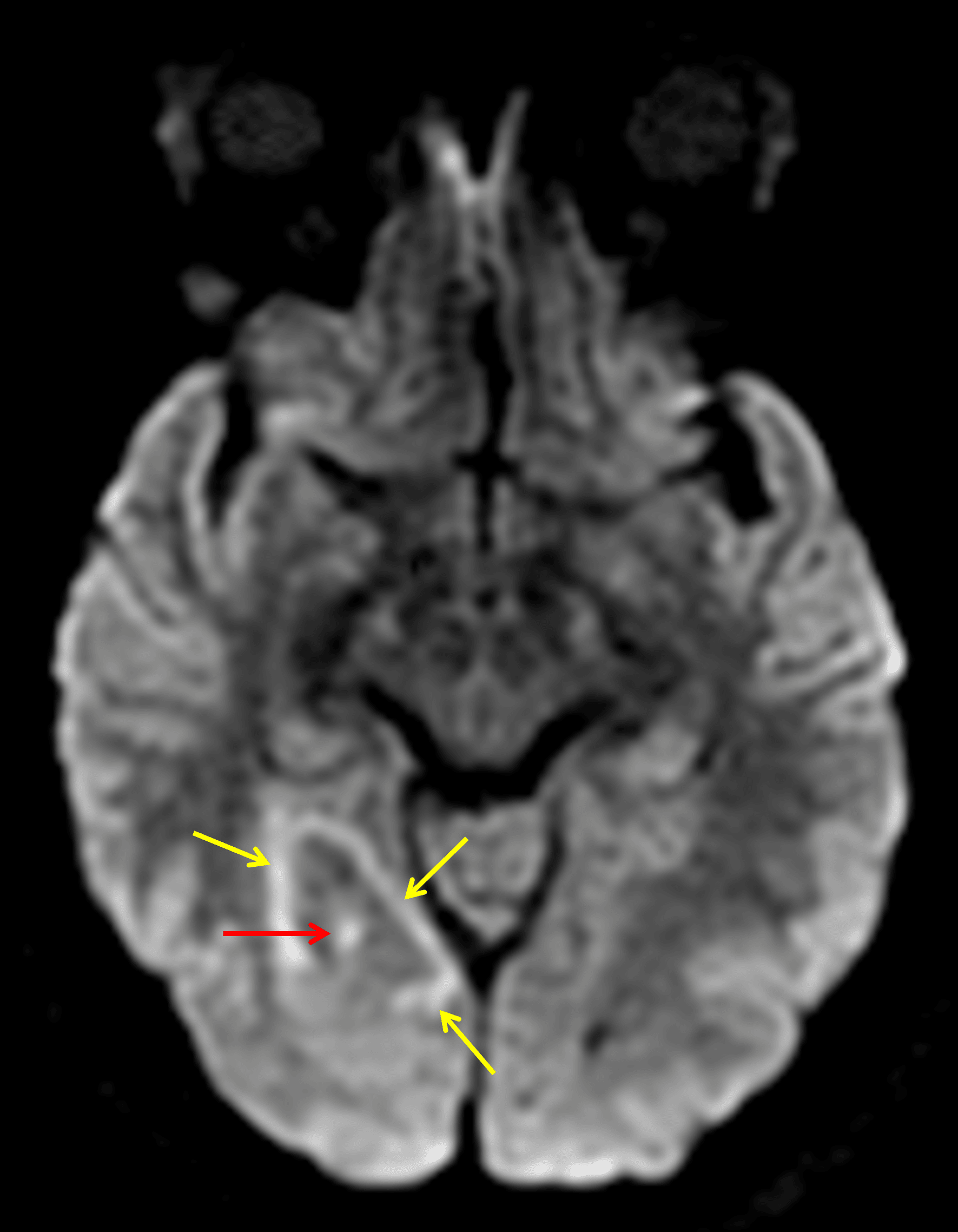
  • Small area of restricted diffusion centrally in the lesion with a faint rim of restricted diffusion along the margins of the area of vasogenic edema surrounding the lesion

Annotated Images & Illustrations

Peripherally-enhancing lesion in the right occipital lobe (red arrow) with surrounding vasogenic edema.

Peripherally-enhancing lesion in the right occipital lobe (red arrow) with surrounding vasogenic edema.

Faint corresponding central restricted diffusion (red arrow) as well as faint restricted diffusion along the periphery of the surrounding vasogenic edema (yellow arrows).

Faint corresponding central restricted diffusion (red arrow) as well as faint restricted diffusion along the periphery of the surrounding vasogenic edema (yellow arrows).

Diagnosis

CNS toxoplasmosis

Differential Diagnosis

Become a PRO member to unlock the differential diagnosis

Pearls

Become a PRO member to unlock the pearls

Site Feedback

Your feedback helps us improve CaseStacks. Please share your thoughts, suggestions, or report any issues you've encountered.

/5
Thank you for your feedback! We appreciate your input.