Skip to main content
Case #1

PRO Plan Required

Unlock this case with a PRO membership

Demographics: 38 years old, Male
Indication: Seizure

Case #1

Findings

  • T1 hypointense, T2 hyperintense expansile mass extending to the cortex in the left superior frontal gyrus
  • Mixed hyperintense and isointense internal FLAIR signal
  • No corresponding enhancement, restricted diffusion, or susceptibility artifact
  • Mild corresponding local mass effect without midline shift or evidence of herniation or hydrocephalus

Annotated Images & Illustrations

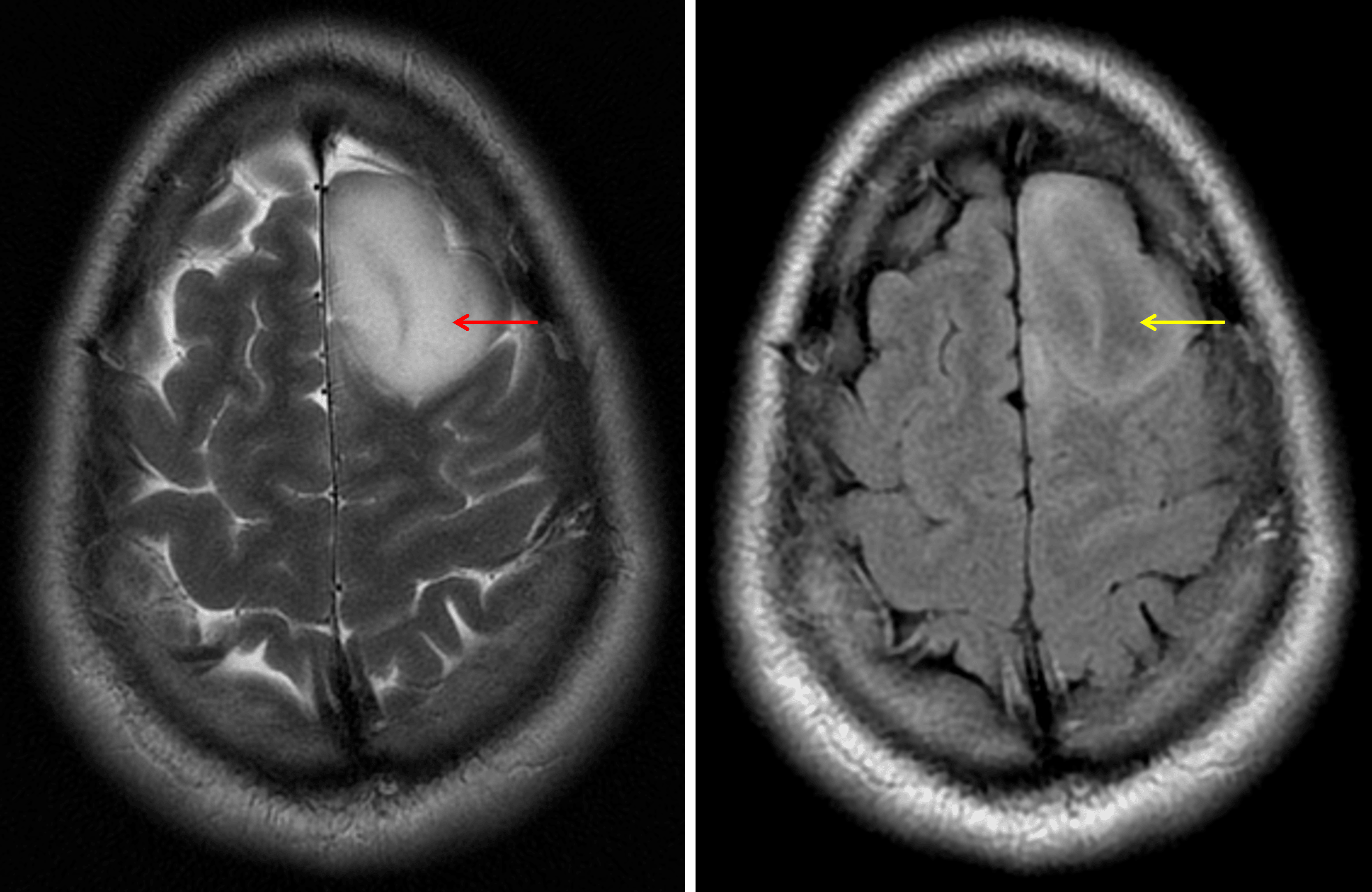
The T2-FLAIR mismatch sign: the lesion demonstrates internal T2 signal hyperintensity (red arrow) contrasted to relatively hypointense FLAIR signal (yellow arrow).

The T2-FLAIR mismatch sign: the lesion demonstrates internal T2 signal hyperintensity (red arrow) contrasted to relatively hypointense FLAIR signal (yellow arrow).

Diagnosis

IDH-mutant astrocytoma

Differential Diagnosis

Become a PRO member to unlock the differential diagnosis

Pearls

Become a PRO member to unlock the pearls

Site Feedback

Your feedback helps us improve CaseStacks. Please share your thoughts, suggestions, or report any issues you've encountered.

/5
Thank you for your feedback! We appreciate your input.