Skip to main content
Case #1
Demographics: 9 years old, Male
Indication: Indication: Fall

Case #1

Findings

  • Acute right clavicle fracture between the middle and distal thirds with 2 cm override and approximately one shaft width superior displacement of the proximal fracture fragment

Diagnosis

Clavicle fracture

Sample Report

Acute right clavicle fracture between the middle and distal thirds with 2 cm override and approximately one shaft width superior displacement of the proximal fracture fragment.

No widening of the acromioclavicular joint or coracoclavicular distance.

Discussion

  • Clavicle fractures are very common in children
  • The clavicle most commonly fractures at the junction of the middle and lateral thirds, in between attachments of the sternocleidomastoid muscle medially and coracoclavicular ligament laterally
  • When the fracture is complete, the medial fragment is typically pulled superiorly (and posteriorly) by the sternocleidomastoid muscle while the lateral fragment is pulled inferiorly (and anteriorly) by the weight of the arm
  • Always look for associated acromioclavicular joint malalignment or widening of the coracoclavicular distance (normal measurement < 13 mm)

Annotated Images & Illustrations

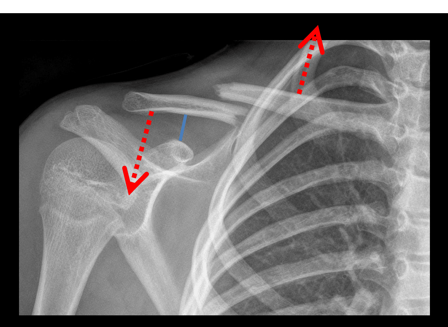
Red arrows: upward pull on the medial fracture fragment by the SCM and downward pull on the lateral fragment by the weight of the arm. Blue line: normal coracoclavicular distance

Red arrows: upward pull on the medial fracture fragment by the SCM and downward pull on the lateral fragment by the weight of the arm. Blue line: normal coracoclavicular distance

Site Feedback

Your feedback helps us improve CaseStacks. Please share your thoughts, suggestions, or report any issues you've encountered.

/5
Thank you for your feedback! We appreciate your input.