Use mouse wheel, arrow keys or left click (with scroll tool selected) to scroll
ui.case.use_touch_gestures
DICOM HelpSource: Local (us-east1-c)
Findings
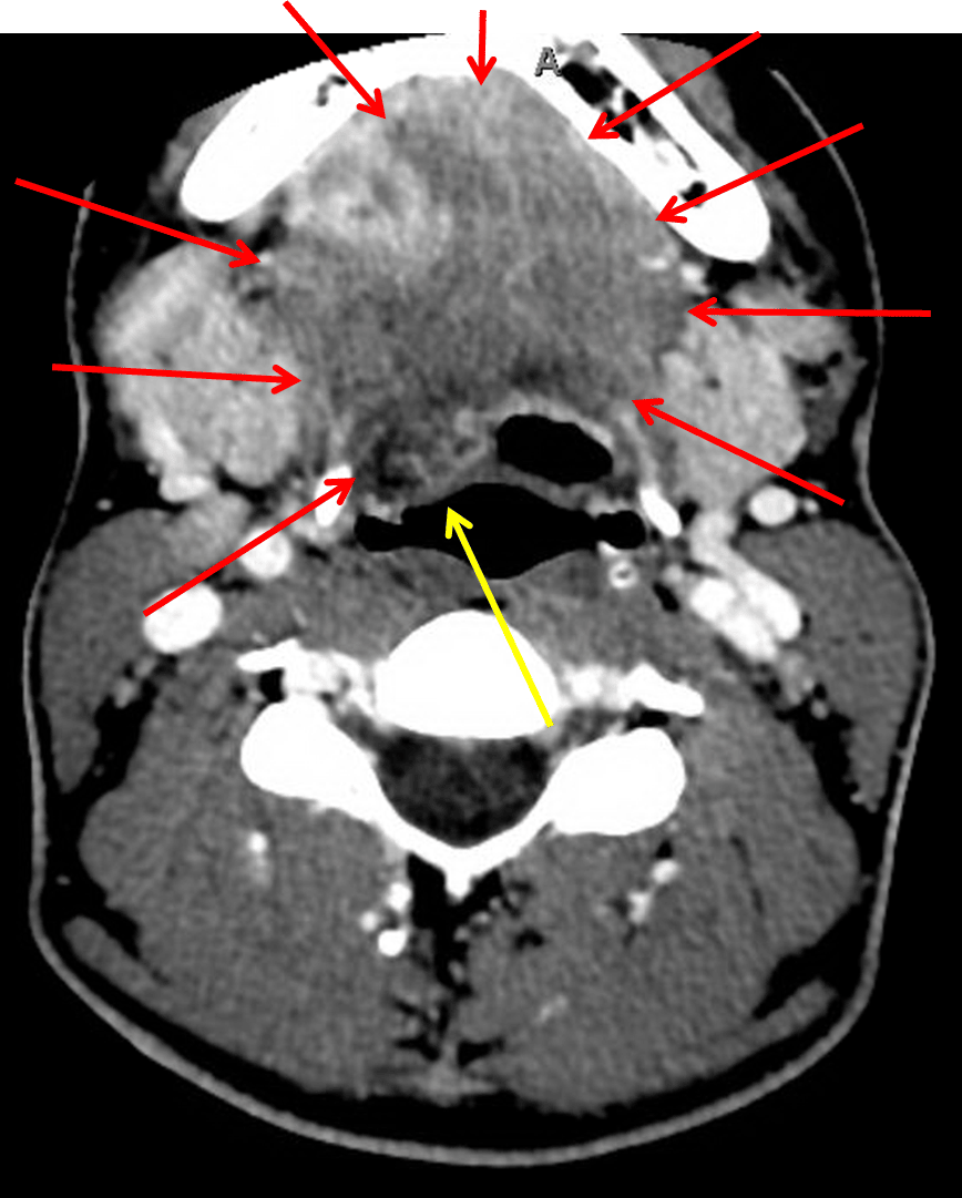
- Periapical lucency involving the right second mandibular molar with lingual surface cortical breakthrough
- Complex, peripherally enhancing collection extends from this area of cortical breakthrough inferomedial into the floor of mouth with extensive surrounding edema
- Edematous tissue bulges into the right eccentric vallecula without substantial airway narrowing
- Reactive enlargement of right greater than left cervical lymph nodes
Diagnosis
Ludwig angina
Sample Report
Periapical lucency associated with the right second mandibular molar complicated by lingual cortex breakthrough and an associated abscess extending into the floor of the mouth, concerning for Ludwig angina. Surrounding edematous tissue bulges into the right eccentric vallecula without substantial airway narrowing. Recommend urgent ENT consultation.
Discussion
- Ludwig angina is a life-threatening floor of the mouth infection, most often odontogenic in origin
- Airway compromise is the feared complication, so ENT needs to be involved
- Always look for edema in the floor of the mouth. If you think it's there, question this entity
Annotated Images & Illustrations
Fluid extending along the right floor of the mouth (red arrows). Mass effect on the pharynx (yellow arrow).