Skip to main content
Case #13

PRO Plan Required

Unlock this case with a PRO membership

Demographics: 21 years old, Female
Indication: Transfer for hydrocephalus

Case #13

Findings

CT with contrast

  • Mildly hyperattenuating mass in the body of the right lateral ventricle with cystic components along its medial margin and broad contact with the septum pellucidum
  • Patchy internal areas of enhancement

MRI

  • Heterogeneous mass in the body of the right lateral ventricle measuring 3.8 x 3.4 x 3.8 cm with a solid component laterally and multiple cystic components medially, broadly contacting the septum pellucidum
  • The solid component is isointense on T2, mildly hyperintense on FLAIR, and demonstrates diffuse restricted diffusion and mild patchy enhancement
  • Associated right lateral deviation of the septum pellucidum and mass effect on the third ventricle with resultant obstructive hydrocephalus involving the lateral ventricles and anterior aspect of the third ventricle

Annotated Images & Illustrations

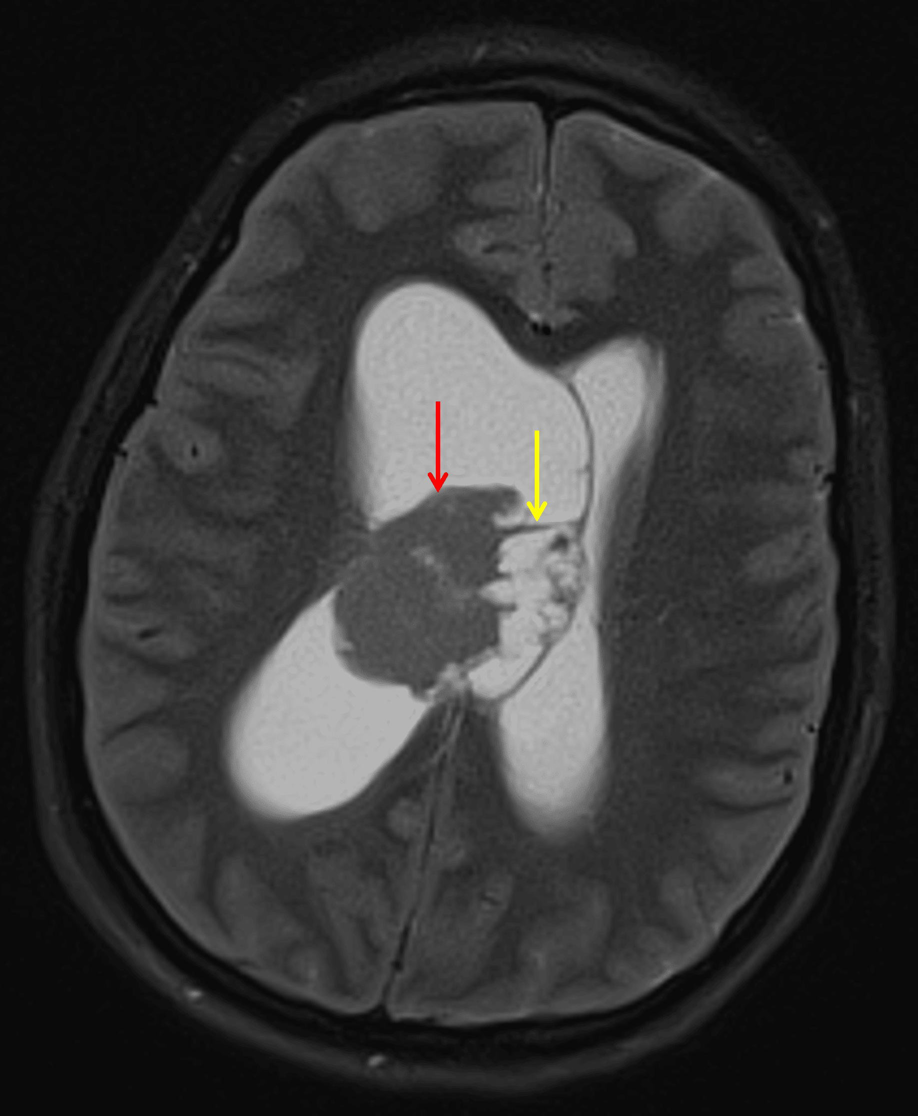
Mass in the body of the right lateral ventricle with a solid component laterally (red arrow) and a cystic component medially (yellow arrow).

Mass in the body of the right lateral ventricle with a solid component laterally (red arrow) and a cystic component medially (yellow arrow).

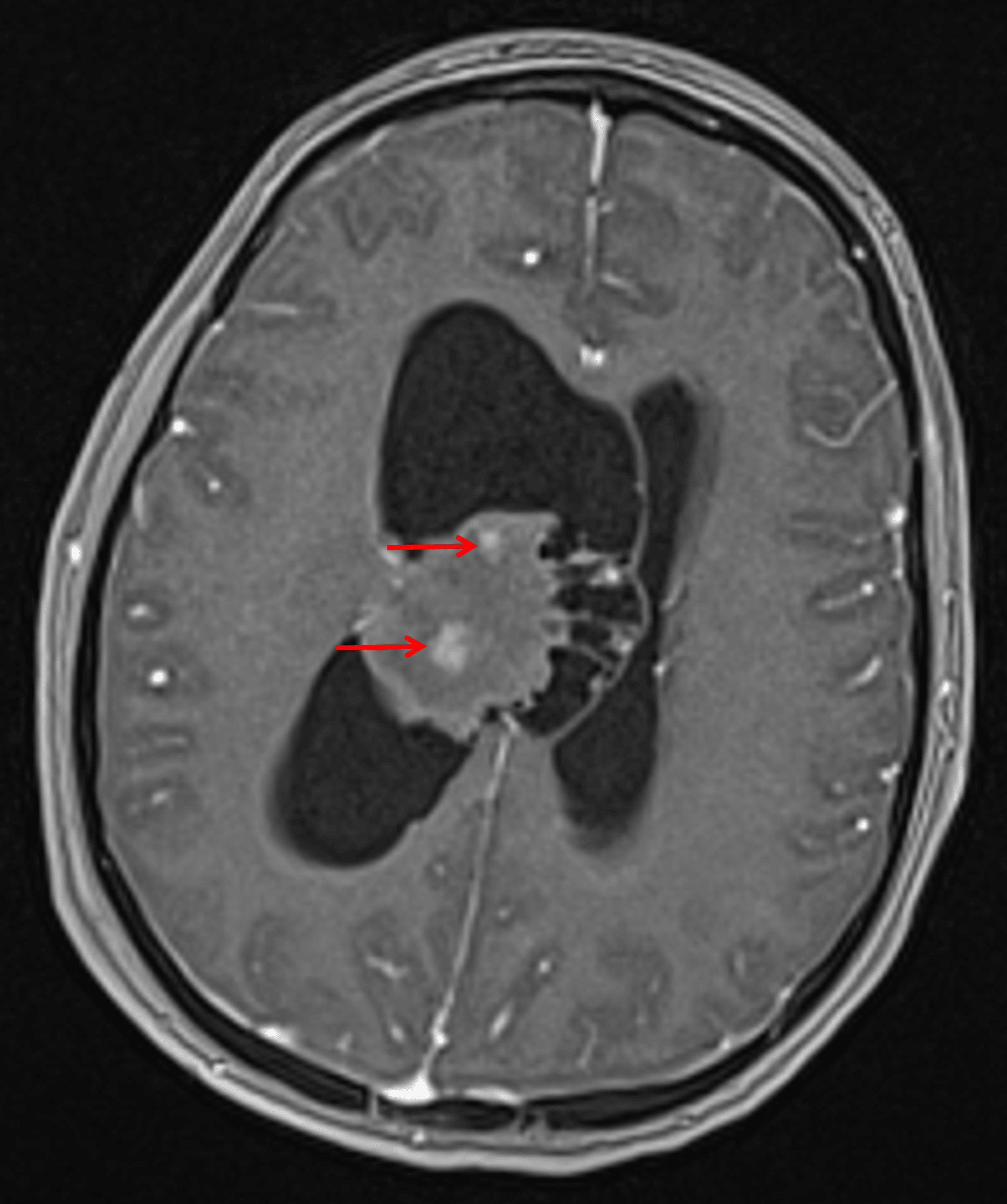
Internal patchy areas of enhancement (red arrows).

Internal patchy areas of enhancement (red arrows).

Diagnosis

Central neurocytoma

Differential Diagnosis

Become a PRO member to unlock the differential diagnosis

Pearls

Become a PRO member to unlock the pearls

Site Feedback

Your feedback helps us improve CaseStacks. Please share your thoughts, suggestions, or report any issues you've encountered.

/5
Thank you for your feedback! We appreciate your input.