Skip to main content
Case #3
Demographics: 16 years old, Male
Indication: Football injury, ankle pain

Case #3

Findings

Diagnosis

Maisonneuve fracture

Sample Report

Widening of the medial joint space of the ankle mortise, concerning for ligamentous injury. Recommend tibia/fibula radiographs to evaluate for associated fracture.

No acute fracture in the ankle.

Discussion

  • Just like the radius and ulna, think about the tibia and fibula as a ring structure. If you see injury in one place (either fracture or joint subluxation) inspect the rest of the ring for additional injuries. If you only see widening of the medial clear space of the ankle mortise, make sure to get tibia/fibula radiographs to look for a proximal fibular (Maisonneuve) fracture

Annotated Images & Illustrations

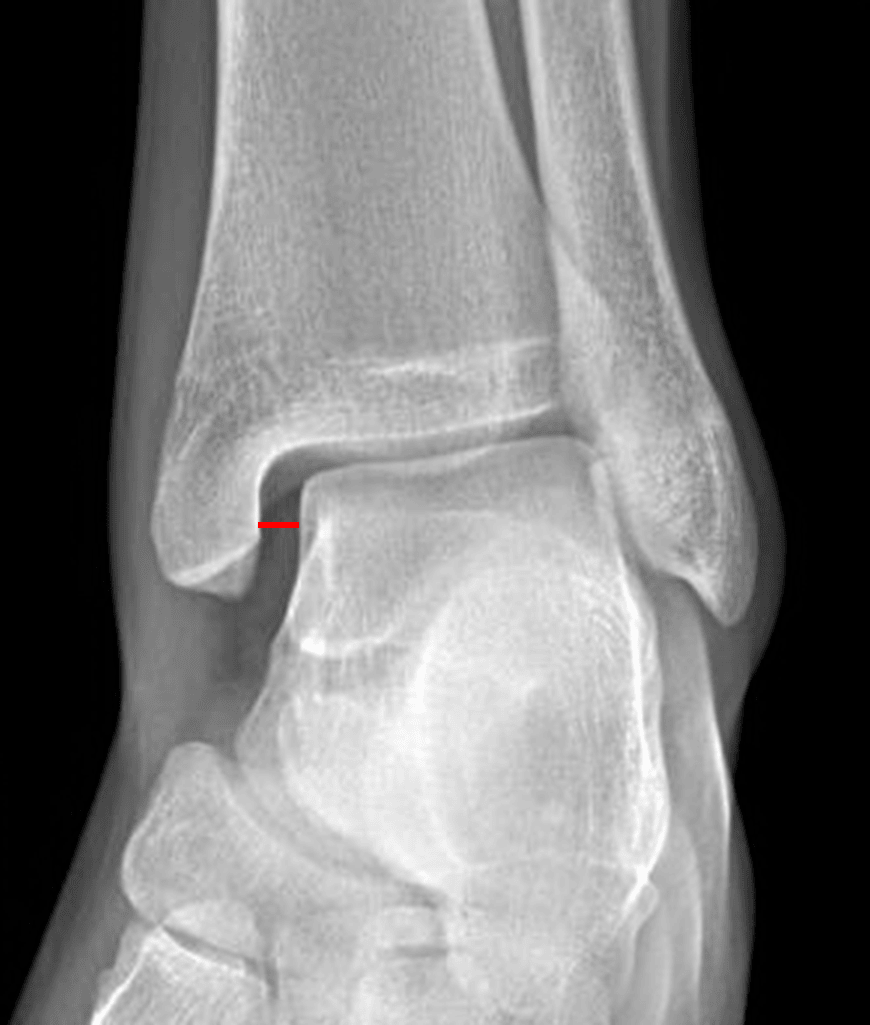
Red line: medial clear space widening concerning for ligamentous injury.

Red line: medial clear space widening concerning for ligamentous injury.

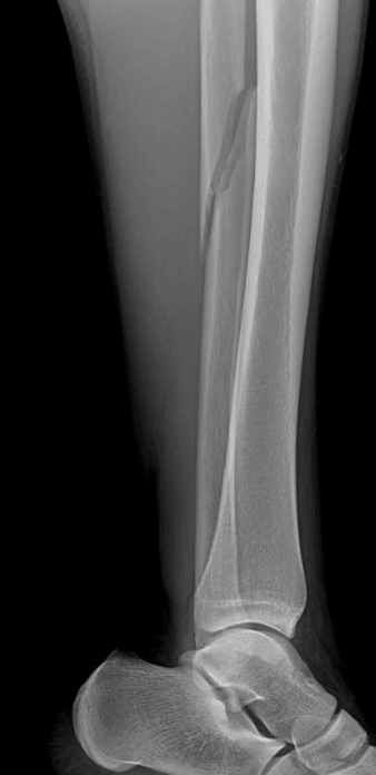
Tibia/fibula radiograph in this patient shows a proximal fibular fracture consistent with a Maisonneuve fracture

Tibia/fibula radiograph in this patient shows a proximal fibular fracture consistent with a Maisonneuve fracture

Site Feedback

Your feedback helps us improve CaseStacks. Please share your thoughts, suggestions, or report any issues you've encountered.

/5
Thank you for your feedback! We appreciate your input.